Over 120,000 people have successfully resolved their most challenging oral health issues using our advanced bee venom-driven dental care technology.
Natural. Powerful. Clinically Tested. The “Liquid Gold” of Oral Care.

98.6% Customer Satisfaction Rate

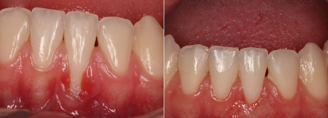
“I was really worried about my receding gums and the impact it was having on my teeth. The sensitivity was unbearable at times, and I feared it was weakening my teeth’s structure. A family member suggested I try NATRAVOR® BeeTakt Oral Repair Solution, and I started using it consistently about 5 days ago. The difference has been remarkable—my gums are less sensitive, the stinging with hot or cold drinks is gone, and my teeth feel noticeably stronger. I feel confident that I am not just preventing further gum recession but also supporting my teeth’s health. Now I can enjoy my morning coffee without wincing, which is such a relief!”
– Ethan Marshall, 38
Periodontitis & Gum Recession — What’s Really Happening?

Periodontitis is a progressive gum disease caused by bacteria and inflammation.
As we age—especially after 30—our enamel thins, saliva decreases, and gums become more vulnerable to erosion, sensitivity, and recession. Poor oral habits or the long-term use of harsh toothpastes can further irritate gums and accelerate periodontal damage.

How NATRAVOR® BeeTakt Oral Repair Solution Works

Step 1 — Removes Plaque & Dissolves Hardened Tartar
BeeTakt Drops are engineered not just to freshen your mouth—but to soften and break down calcified tartar deposits. Using the natural antibacterial and enzymatic properties of bee venom, the powerful peptide melittin penetrates tartar layers and weakens their mineral bonds. Once softened, the tartar can be naturally removed during brushing, restoring a smoother tooth surface and reducing future plaque buildup.

Step 2 — Reduces Inflammation & Relieves Gum Pain
This formula delivers fast relief from gum inflammation and discomfort by easing swelling and sensitivity. Bee venom, naturally rich in melittin, offers strong anti-inflammatory benefits that calm irritated gums and support the healing process. Its gentle, naturally soothing effect provides quick comfort to sensitive gum areas while aiding in the regeneration of healthy gum tissue.

Step 3 — Supports Gum Repair Within 7 Days
Thanks to an innovative gum-repair technique developed by researchers at Heidelberg University, NATRAVOR® BeeTakt Oral Repair Solution is formulated with Tideglusib—an active ingredient known for activating gum stem cells and supporting natural tissue regeneration.

Tideglusib helps repair damaged gum tissue and noticeably improves gum health within just 7 days. By strengthening gum structure and restoring vitality, this treatment promotes healthier, more resilient gums in a remarkably short time.

Step 4 — Long-Term Oral Protection
NATRAVOR® BeeTakt Oral Repair Solution provides lasting oral protection by using the potent antioxidants naturally present in bee venom to neutralize harmful free radicals. This helps maintain strong, resilient gums, supports healthier teeth, and shields the mouth from ongoing damage.


Key Active Ingredients

This clinically tested ingredient contains bee venom, often referred to as ‘liquid gold,’ and offers antibacterial, anti-inflammatory, antioxidant, and tissue-regenerating properties that improve overall oral health.
Bee venom: Bee venom is known for its antibacterial and anti-inflammatory properties and fights bacteria and inflammation in the mouth while promoting tissue regeneration. This effective ingredient supports gum health, helps to soothe irritation, heal damaged tissue, and promote overall dental well-being.
Coenzyme Q10: Recognized as a breakthrough in oral care, this highly effective antioxidant accelerates gum tissue regeneration and minimizes inflammation, promoting healthier gums and supporting overall dental health for a revitalized, refreshed smile.
Hyaluronic acid: This molecule, an innovative fusion of hydration science, nourishes and regenerates gum tissue, accelerates oral healing, and maintains optimal moisture levels for improved tissue regeneration and overall gum vitality.
Vitamin C: This powerful antioxidant is derived from nature’s most effective sources and boosts collagen production. It strengthens gum firmness and resilience and accelerates tissue repair for a healthier, stronger smile at the cellular level.
Tideglusib: Tideglusib is a revolutionary active ingredient that taps into the body’s natural repair mechanisms and improves tooth regeneration by stimulating dentine growth. This restores and strengthens damaged teeth from the inside out, leading to long-term oral health.
Why Choose NATRAVOR® BeeTakt Oral Repair Solution?

✓ Approved and recommended by dentists.
✓ Effectively treats a comprehensive range of oral problems.
✓ Fights plaque, bad breath, receding gums, bleeding gums, and more.
✓ Side-effect free formula made from 100% natural herbs.
✓ CE approved and safe for consumption.
✓ Suitable for all ages, including children, young adults, and seniors.
✓ NATRAVOR® BeeTakt Oral Repair Solution is backed by the latest advances in oral care technology.
✓ It provides a convenient addition to the daily hygiene routine for long-lasting results.
✓ Economical and affordable, offering a cost-effective solution to maintaining optimal oral health.
More Customer Experiences

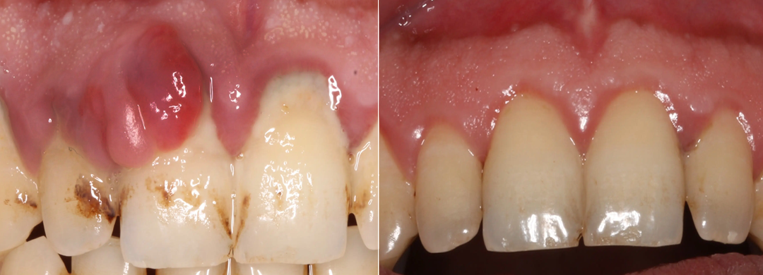
“I was struggling with periodontitis, which made my gums painful, swollen, and prone to bleeding whenever I brushed my teeth. A friend recommended I try NATRAVOR® BeeTakt Oral Repair Solution, so I decided to give it a go. I have been using it for 1 week and it has already made a noticeable difference. The inflammation has decreased, the bleeding has almost disappeared, and my gums feel much healthier and stronger. Thanks to this product, I can eat and brush without discomfort and I am confident that I have the health of my gums under control.”
– Olivia Carter, 39

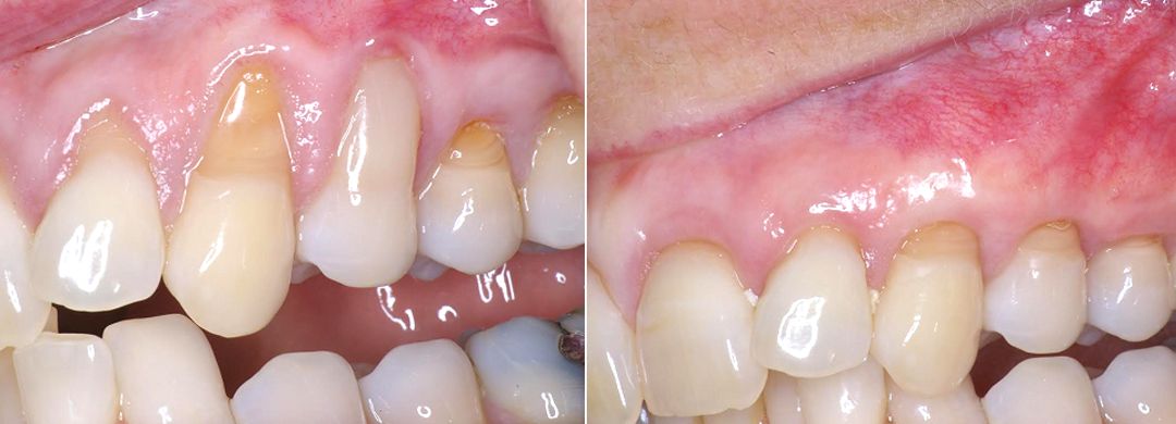
“My gums used to get puffy and sore nearly every time I brushed, and I was becoming increasingly concerned as they slowly started to recede. A friend suggested I try NATRAVOR® BeeTakt Oral Repair Solution, so I added it to my daily routine about a week ago. The improvement was fast—within several days, the swelling reduced dramatically, and sensitivity during meals was almost non-existent. After steady use, my gums feel much stronger than before, and I finally feel confident and at peace knowing my gum health is improving.”
– Liam Harrison, 37
How to Use

-
Add 2–4 drops to a cup of water.
-
Swish for 1 minute.
-
Spit out and avoid eating or drinking right after.
-
Use daily for best results.











Reviews
There are no reviews yet.